女性痛经有望治疗!最新研究表明靶向梭杆菌治疗子宫内膜异位症,缓解痛经
2023-10-17 16:25:48痛经在女性群体中非常普遍,根据年龄和人群不同,发病率在 50~90% 之间。子宫内膜异位症是一种妇科疾病,其特征是通常在子宫内发现的子宫内膜组织出现在子宫外,10%-15%的育龄妇女会因为子宫内膜异位症在月经期间感受到剧烈疼痛。
据研究统计,子宫内膜异位症的发病率仅次于妇科炎症性疾病和子宫肌瘤,在育龄女性中,全球患有子宫内膜异位症的比例有5%~15%。在中国的育龄期女性中,发病率约10%,而不孕女性中高达30%~45%。
作为一种常见妇科疾病,子宫内膜异位症病因和发病机制目前尚未明确,这也是临床上至今仍然没有手段根治子宫内膜异位症的主要原因。
近日,日本名古屋大学研究团队在Science Translational Medicine发表题为“Fusobacterium infection facilitates the development of endometriosis through the phenotypic transition of endometrial fibroblasts”的研究成果,发现了子宫内膜异位症(EMs)的潜在致病因素:梭杆菌感染,杆菌属感染会促进子宫内膜异位症的发展,抗生素治疗则能有效减少实验动物病灶。结合人类研究中的数据,64%子宫内膜异位症患者都存在梭杆菌属感染的情况,这提示或许抗生素治疗能够成为缓解她们痛苦的一剂良方。
EMs患者TAGLN基因表达上调,促进增殖
研究人员从4名患者和4名健康志愿者处取得了子宫内膜和异位内膜组织样本,进行了基因表达谱分析,结果显示从健康女性子宫内膜成纤维细胞到患者女性子宫内膜成纤维细胞再到患者女性卵巢异位细胞的TAGLN表达水平是逐步增加的。
细胞实验证明过表达TAGLN会肌成纤维细胞的增殖、迁移和附着,此外,EMs患者来源临床样本的IL-6表达显著增加,而TAGLN的蛋白表达与这些组织中的IL-6呈正相关,直接在培养基中添加IL-6,也能够促进细胞系的增殖,说明TAGLN通过IL-6促进子宫内膜细胞增殖。
梭杆菌感染通过TGF-β1诱导TAGLN的表达
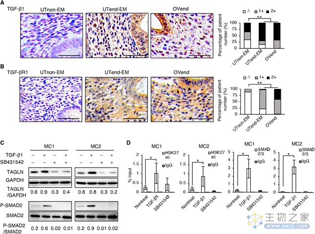
TGF-β1是在EMs中起主要作用的关键生长因子,研究人员发现相对于正常子宫内膜,EMs患者组织中基质细胞和上皮细胞中TGF-β1和TGF-β受体1的丰度均增加。

研究者们猜测,Ems患者样本中TGF-β1的丰度升高可能与细菌感染有关,公开数据集显示EMs患者子宫内膜中有5个菌属显著增加。在子宫内膜异位症患者中,64.3%子宫内膜组织中存在梭杆菌属,52.4%异位组织中存在梭杆菌属;但在健康女性中,仅有7.1%子宫内膜存在梭杆菌属。体外试验表明,即使是热灭活的具核梭杆菌也能促进M2巨噬细胞形成,并刺激产生TGF-β1。这些数据表明子宫内膜中的具核梭杆菌可能通过上调TGF-β1信号影响成纤维细胞中TAGLN的丰度。
抗生素治疗可缓解具核梭杆菌感染的EMs
既然梭杆菌属感染会促进子宫内膜异位症的进展,那么抗生素治疗是否能抑制疾病进展呢?研究人员使用甲硝唑(MZ)和氯霉素(CP)两种梭杆菌属敏感的抗生素对模式小鼠进行了治疗,经过一周的抗生素治疗后,具核梭菌浸润不再存在,供体小鼠子宫内膜和受体小鼠子宫内膜异位病变中的M2巨噬细胞浸润、TGF-β1和TAGLN表达均降低。

也就是说无论是感染后直接给药,还是在异位病灶已经形成后才给药,都能不同程度地显著减少异位病变的数量和重量,这说明给予抗生素根除梭杆菌,可以明显改善其子宫内膜异位症病变情况。
总而言之,这项研究表明针对梭杆菌是一种有效的治疗子宫内膜异位症的非激素抗生素。对于梭杆菌感染呈阳性的女性来说,通过抗生素治疗根除这种细菌可能是治疗子宫内膜异位症的一种方法……
- • 3·15丨中成药质量不合格报告 2025-03-17
- • 3·15丨中药材质量不合格报告 2025-03-17
- • 断碳水、吃益生菌有用吗?权威指南教你减肥 2025-01-16
- • 有人“天然短睡眠”却无碍健康,科学家发现七个突变基因 2025-01-16
- 网友评论:
- 已有0条评论
②本网转载并注明自其它来源的作品或会员自行上传的资料,目的在于传递更多信息,并不代表本网赞同其观点或证实其内容的真实性,不承担此类作品侵权行为的直接责任及连带责任。其他媒体、网站或个人从本网转载时,必须保留本网注明的作品来源,并自负版权等法律责任。
③如涉及作品内容、版权等问题,请在作品发表之日起一周内与本网联系,否则视为放弃相关权利。