首页 > 信息园地 > 行业新闻

Devel Cell:揭示线粒体特殊蛋白在机体心脏组织再生过程中扮演的重要角色

2024-05-20 09:51:45    来源:生物谷原创

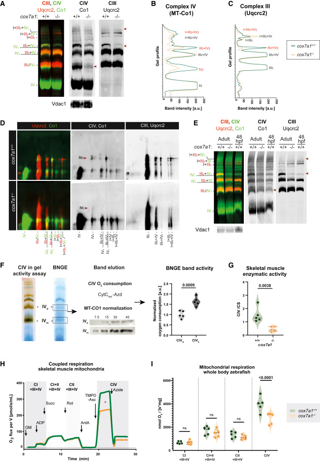
线粒体在提供维持机体正确细胞功能所需的能量上扮演着至关重要的角色,在线粒体中,能量的产生是由呼吸链来完成的,呼吸链由五种从CI到CV的复合体组成,这些复合体能组装形成超级复合体,但科学家们对这一过程的机体作用以及其是如何被控制的知之甚少。近日,一篇发表在国际杂志Developmental Cell上题为“Cox7a1 controls skeletal muscle physiology and heart regeneration through complex IV dimerization”的研究报告中,来自西班牙的科学家们通过研究揭示了这种超级复合体组装背后的分子机制,并揭示了线粒体组装因子对心脏组织再生所产生的主要影响。

研究者表示,Cox7a蛋白家族的成员在CIV二聚体的组装过程中发挥着重要作用,这种组装对于正确的线粒体功能和细胞能量的产生非常重要。Cox7a蛋白家族包括三个成员:Cox7a1、Cox7a2和Cox7a2l(也称为SCAF1),此前研究人员发现,当CIV含有SCAF1时,其或许就与CIII密切相关,从而就能形成一种名为呼吸体(respirasome)的呼吸超级复合体;在此前研究中,研究人员推测,纳入Cox7a2或能产生无法形成结合力的CIV,而包含Cox7a1的CIV分子则会结合在一起形成CIV同源二聚体,这项最新研究通过实验证明了Cox7a1在这些CIV同源二聚体中的作用。

揭示线粒体特殊蛋白在机体心脏组织再生过程中扮演的重要角色

图片来源:Developmental Cell (2024). DOI:10.1016/j.devcel.2024.04.012

通过对斑马鱼模型进行研究,研究人员发现,Cox7a1的缺失会阻止CIV二聚体的形成,而这些二聚体的缺失则会影响受影响斑马鱼的体重和游泳能力。Enriquez博士说道,Cox7a1主要会在横纹肌细胞中表达,而且骨骼肌组织受Cox7a1功能缺失的影响最大,另一个主要的横纹肌类型就是心肌。但是,尽管骨骼肌中Cox7a1的缺失是有害的,但心肌中Cox7a1的缺失则会改善心脏对损伤的再生反应。

研究者解释道,这一研究结果表明,这些蛋白或许在心脏损伤后修复能力的激活中发挥着重要作用。为了更深入地探索Cox7a1的功能,研究人员对缺失Cox7a1的斑马鱼的骨骼肌和心肌进行了一项蛋白质组学研究,他们进行了代谢组学研究并扩大了分析,这或许就有望解释相比携带完整Cox7a1表达的斑马鱼所出现的显著差异。相关研究发现结果表明,参与线粒体超级复合体组装的分子或许会对机体代谢的控制产生相当大的影响,或许有望帮助开发治疗人类心脏和其它代谢性疾病的新型疗法。

据研究者介绍,这一研究发现代表了他们在理解参与心脏组织再生的细胞机制中的一大进展,并有望帮助开发有望促进心脏组织再生的新型疗法。最后研究者表示,线粒体组装因子或许能明显影响对机体代谢的控制。(生物谷Bioon.com)

    暂无文档
    分享到:
暂无评论
①凡本网注明“来源:益择网”或“益择网讯”的所有作品,版权均属于益择网,转载或摘编请必须注明益择网, http://www.51select.com/ ,用作其他用途请务必联系本网 。违反者本网将追究相关法律责任。
②本网转载并注明自其它来源的作品或会员自行上传的资料,目的在于传递更多信息,并不代表本网赞同其观点或证实其内容的真实性,不承担此类作品侵权行为的直接责任及连带责任。其他媒体、网站或个人从本网转载时,必须保留本网注明的作品来源,并自负版权等法律责任。
③如涉及作品内容、版权等问题,请在作品发表之日起一周内与本网联系,否则视为放弃相关权利。

更多促销产品

更多最新产品

海能TANK微波消...